
Romero Barazorda S.,Šrenk, P.,NovotnýL., Pokorný J. Hyperostóza a hypovitaminóza A u lva Berberského (Panthera leo leo). Veterinární klinika 2025;22(6):
SOUHRN
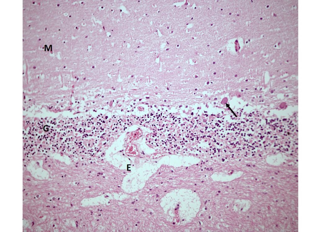
Šestiměsíční samice lva berberského (Panthera leo leo) byla ošetřena kvůli přetrvávající ataxii. Výsledky hematologického a biochemického vyšetření krve byly v mezích normy, s výjimkou nálezu zvýšeného hematokritu, zvýšené hladiny albuminu, zvýšené aktivity CPK, hyperglykémie a mírné hyperkalcémie. Hladina vitamínu A v séru tohoto lvíčete byla výrazně nízká (44 µg/l) v porovnání s hodnotami publikovanými pro zdravé lvy. Po suplementaci vitamínem A nedošlo ke zlepšení, a naopak se dostavily head tilt, hypermetrie a stargazing. Proto bylo provedeno MRI vyšetření mozku a krční míchy. Vyšetření odhalilo výrazné zbytnění týlní kosti a tentoria cerebelli, kompresi a herniaci mozečku, kompresi prodloužené míchy a těžkou syringo/hydromyelii krční míchy. Byly zjištěny kostní změny odpovídající hyperostóze lebky a vzhledem k ireverzibilním změnám bylo lvíče utraceno. Histologicky byla diagnostikována tlaková atrofie mozečku s úbytkem Purkyňových buněk a degenerativní myelopatií. Kostní malformace lebky u mladých lvů chovaných v zajetí jsou považovány za důsledek hypovitaminózy A v souvislosti s krmením svalovinou, tedy potravou bez obsahu vnitřností, které jsou přirozeným zdrojem vitamínu A.
Klíčová slova: Panthera leo leo, ataxie, nedostatek vitamínu A, MRI, deformace lebky, mozeček
SUMMARY
A six-month-old female Barbary lion (Panthera leo leo) was treated for persistent ataxia. Hematological and biochemical examinations were within normal limits, except for elevated hematocrit, increased albumin levels, elevated CPK activity, hyperglycemia, and mild hypercalcemia. The serum vitamin A level in this cub was markedly low (44 µg/l) compared to values reported in healthy lions. Since no improvement was observed after vitamin A supplementation and new symptoms such as head tilt, hypermetria, and stargazing appeared, MRI of the brain and cervical spinal cord was performed. The examination revealed marked thickening of the occipital bone and tentorium cerebelli, compression and herniation of the cerebellum, compression of the medulla oblongata, and severe syringo-/hydromyelia of the cervical spinal cord. The cub exhibited bony changes consistent with calvarial hyperostosis and was euthanized due to irreversible neurological damage. Histopatological examination revealed compressive cerebellar atrophy with loss of Purkinje cells and degenerative myelopathy. Cranial bone malformations in captive lions are considered to result from vitamin A deficiency. This deficiency has been described only in young lions fed exclusively on red meat without organ tissues, which are the natural source of vitamin A.*
Keywords: Panthera leo leo, ataxia, vitamin A deficiency, MRI, skull deformity, cerebellum